Az állatorvoslás
nem mindennapi oldala

Dr. Seregi Antal

Teljes csípőízületi protézis

Bár a csípőízület megbetegedéseiről – mint a leggyakrabban tárgyalt ortopédiai megbetegedésről- első körben nem szerettem volna szólni, mégis megteszem, mert 2010. májusában egy hosszabb egyeztetést és szervezést követően beültettük az első teljes csípőízületi protézist…

A szervezés két részből állt: egyrészt felkerestük azt a magyarországi gyártót, aki a hazai anyagi lehetőségeket is figyelembe véve a szakmai szempontból is optimális rendszert le tudja gyártani, másrészt rábeszéltem Kendik Zsolt kollégámat, aki a hazai csípőízületi protézis beültetésének úttörője, hogy legyen segítségemre a műtét technikájának elsajátításában.

A tényleges műtét előtt temérdek teendő akad. A kutya teljes belgyógyászati kivizsgálása, egyéb ortopédiai és/vagy neurológiai betegségek kiszűrése, a tulajdonosokkal folytatott többszöri megbeszélés, a kockázatok mérlegelése és ezek részletes ismertetése jelentős energiát emészt fel. De ezek nélkül a beteg állat tulajdonosa nem tud reális döntést hozni: vállalható-e a műtét vagy sem?A műtéti időpont egyeztetése sem egyszerű: az operáció során 4 ember összehangolt munkájára, tökéletes aneszteziológiára és a műtétet követően az asszisztensek gondos munkájára van szükség a teljes gyógyuláshoz. Ez szintén jelentős szervezést igényel. A műtétet követő 10 napos kórházi ápolás és az ez utáni 3 hónapon át tartó szigorú mozgáskorlátozás betartása és betartatása a gyógyulás elengedhetetlen feltétele. Egy fiatal, ereje teljében lévő, energikus kutyánál ez néha nehezebb feladat, mint maga az operáció.

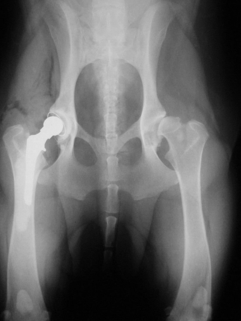
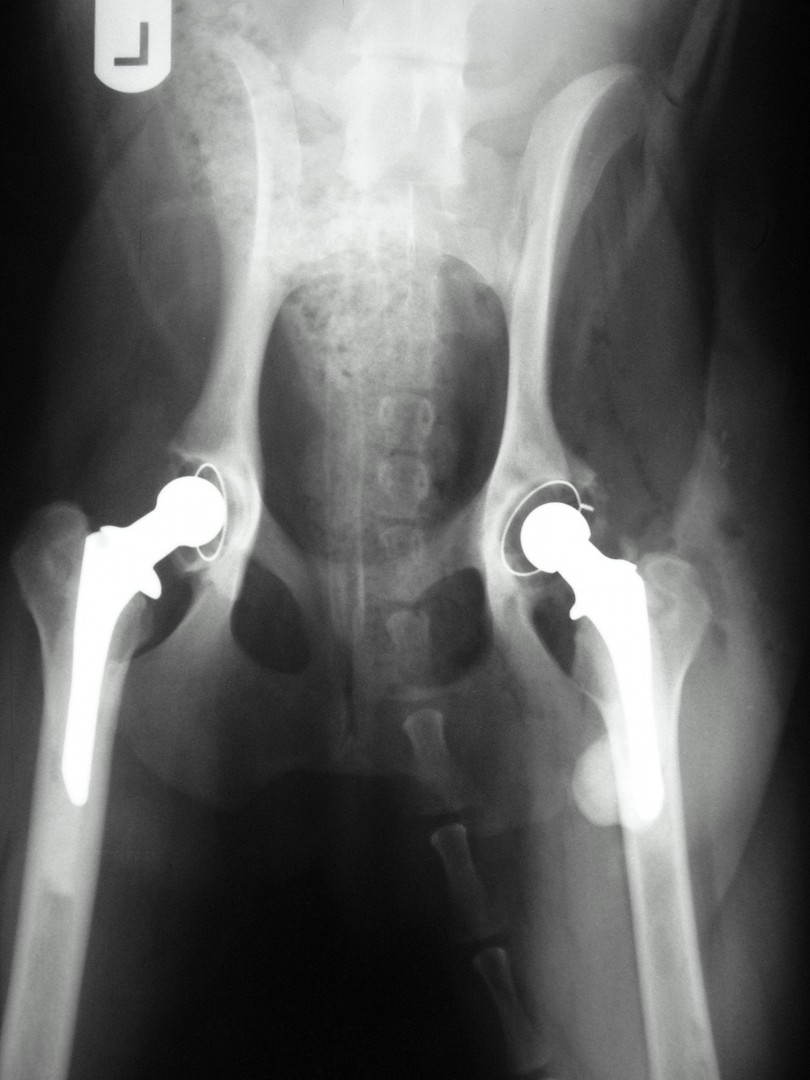
Az első műtét remekül sikerült és Connor, a skót juhász kutya megkapta a bal oldali új csípőízületét. A 7 napi kórházi tartás is problémamentesen zajlott és a varratszedés idejére a műtött végtag terhelése gyakorlatilag hibátlan volt. Az 1 hónapos és a 3 hónapos kontroll RTG vizsgálatokon sem jelentkezett szövődményre utaló jel, az 1 éves postoperatív időszakban már csak az látszott, hogy a műtött lábát jobban terheli, mint a nem operált végtagot. Így 2011. júniusában – immár sokadik csípőízületi protézis műtétként- a jobb oldali csípőízületét is megoperáltuk. Connor gyakorlatilag azóta teljes életet él és vidáman játszik társaival, még birkákat is terel…A majd két éves, a protetizálás során szerzett tapasztalatok azonban nálunk is hozzák a szakirodalomban leírt szövődményi lehetőségeket és arányokat. Leggyakrabban a beültetett protézis ficamával találkoztunk, de akadt sajnos kilökődési reakció is. Ezen problémák – az előzetes tájékoztatás ellenére is- mindig váratlanul érik a tulajdonost és az állatorvost egyaránt. Megoldásuk szinte kizárólag műtéti, ami újabb kockázatot, újabb fizikai és anyagi áldozatot jelent.

Majd 2 év. Sok tapasztalat, sok kihívás.
Ezek éltetik a mindennapokat.

…és az az együttműködés, mely két állatorvos között megvalósult egy cél érdekében…



Ha tetszett a cikk, oszd meg másokkal is:


Kiemelt cikkek

Lépcsavarodás

Kedveltem Brandont…Egyike volt azon shar-pei-eknek, akik a rendelőben is barátságosa...

Dunyha

Mindig kedveltem a nem mindennapi kutyaneveket… Dunyhát, a pajkos magyar vizsla lányt...

A szájüreg daganatai

A szájüregben előforduló daganatok a daganatos betegségek gyakoriságát vizsgáló statiszt...

Legfrissebb cikkek

A mellékvese daganatai

A mellékvesék a vese körüli zsírszövetben találhat&oac...

Gerinctörések

A gerinctörések kialakulását minden esetben valamilyen súlyos trauma előzi meg. Az esetek d...

Lépcsavarodás

Kedveltem Brandont…Egyike volt azon shar-pei-eknek, akik a rendelőben is barátságosa...